纺织学报 ›› 2019, Vol. 40 ›› Issue (06): 68-72.doi: 10.13475/j.fzxb.20170704405

• 染整与化学品 • 上一篇    下一篇

负离子远红外功能织物对乳腺增生大鼠模型的影响

吴继辉1(), 邹婉晴1, 汤明竹1, 沈小雨2, 杨佳敏3, 张露芬4   

  1. 1.北京服装学院 服装艺术与工程学院, 北京 100029
    2.成都中医药大学 针灸推拿学院, 四川 成都 610075
    3.北京劳动保障职业学院 工商管理系, 北京 100029
    4.北京中医药大学 针灸推拿学院, 北京 100029
  • 收稿日期:2017-07-11 修回日期:2019-03-15 出版日期:2019-06-15 发布日期:2019-06-25
  • 作者简介:吴继辉(1972—),男,副教授,硕士。主要研究方向为服装产品研发。E-mail: fzywjh@bift.edu.cn
  • 基金资助:
    北京市教育委员会科技计划一般项目(KM201510012003);服装材料研究开发与评价北京市重点实验室开放课题(2013ZK-05)

Effect of negative ion far-infrared functional fabrics on hyperplasia of mammary gland rats model

WU Jihui1(), ZOU Wanqing1, TANG Mingzhu1, SHEN Xiaoyu2, YANG Jiamin3, ZHANG Lufen4   

  1. 1. School of Fashion Art and Engineering, Beijing Institute of Fashion Technology, Beijing 100029, China
    2. School of Acupuncture-Moxibustion and Tuina, Chengdu University of TCM, Chengdu, Sichuan 610075, China
    3. Department of Business Administration, Beijing Vocational College of Labour and Social Security, Beijing 100029, China
    4. School of Acupuncture-Moxibustion and Tuina, Beijing University of Chinese Medicine, Beijing 100029, China
  • Received:2017-07-11 Revised:2019-03-15 Online:2019-06-15 Published:2019-06-25

摘要:

为探究负离子远红外功能织物对乳腺增生的保健效果,采用浸轧法制备负离子远红外功能织物,选取健康雌性SD大鼠为研究对象,随机分为对照组、模型组和功能织物组,功能织物组穿着由负离子远红外功能织物制成的外套,模型组穿着普通面料外套,采用公认的雌激素法制备乳腺增生大鼠模型。通过测量大鼠乳头高度和直径, 进行乳腺组织形态学观察。结果表明:与对照组比较,模型组乳头直径、高度增大;与模型组比较,功能织物组乳头直径、高度减小;功能织物组较模型组乳腺形态和组织学特征有所改善;负离子远红外功能织物可使乳腺增生模型大鼠乳头高度、直径明显缩小,对大鼠乳腺增生有一定的抑制作用。

关键词: 远红外纺织品, 功能整理, 乳腺增生, 动物实验, 负离子, 保健

Abstract:

In order to study the health care effects of negative ion far-infrared functional fabrics on hyperplasia of mammary gland (HMG), the negative ion far-infrared functional fabrics were prepared by padding method, and female healthy Sprague-Dawley rats were selected as the research object. Then they were divided randomly into three groups: control group, model group and functional fabrics group. The experimental rats in the functional fabrics group wore the coat made by negative ion far-infrared functional fabrics, and in the model group the coat made by ordinary fabrics, prepared HMG rats model by accepted estrogen method. At last, the rats' nipple heights and diameters were measured, and the morphology of mammary gland were observed. The results indicate that in comparison with control group, the nipple heights and diameters increase in model group. Compared with model group, the nipple heights and diameters decrease in functional fabrics group. The morphological and histological features of the mammary gland in the functional fabric group are improved compared with the model group. Negative ion far-infrared functional fabrics can decrease the nipple heights and diameters of HMG rats, and has a certain inhibitory effect on the rats' HMG.

Key words: far-infrared textile, functional finishing, hyperplasia of mammary gland, animal experiment, negative ion, health care

中图分类号: 

  • TS195.5

图1

布袋规格示意图"

表1

第2和第3对乳头直径比较"

组别 组数 第2对乳头左侧直径 第2对乳头右侧直径 第3对乳头左侧直径 第3对乳头右侧直径
对照组 10 0.12±0.01 0.13±0.01 0.13±0.03 0.14±0.02
模型组 11 0.19±0.02 0.21±0.02 0.20±0.02 0.21±0.02
功能织物组 11 0.16±0.03 0.18±0.04 0.16±0.04 0.16±0.04

表2

第2和第3对乳头高度比较"

组别 组数 第2对乳头左侧高度 第2对乳头右侧高度 第3对乳头左侧高度 第3对乳头右侧高度
对照组 10 0.12±0.02 0.13±0.02 0.13±0.03 0.13±0.02
模型组 11 0.18±0.01 0.19±0.01 0.18±0.02 0.18±0.03
功能织物组 11 0.13±0.02 0.14±0.03 0.13±0.03 0.13±0.02

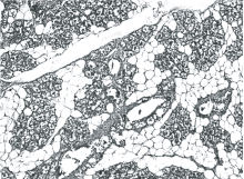
图2

对照组乳腺形态和组织学特征(×100)"

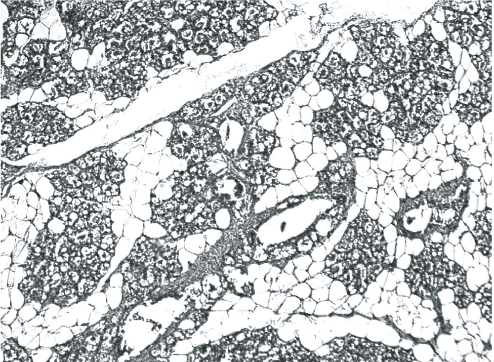
图3

模型组乳腺形态和组织学特征(×100)"

图4

功能织物组乳腺形态和组织学特征(×100)"

[1] 王称, 严俊, 胡则楠, 等. 不同职业女性乳腺增生筛查分析[J]. 中国妇幼保健, 2012,27(28):4385-4387.
WANG Cheng, YAN Jun, HU Zenan, et al. Screening analysis of mammary gland hyperplasia in different occupational women[J]. Maternal and Child Health Care of China, 2012,27(28):4385-4387.
[2] 谷丽艳, 易佳丽, 樊延宏, 等. 中医药疗法治疗乳腺增生研究进展[J]. 辽宁中医药大学学报, 2014,16(1):173-176.
GU Liyan, YI Jiali, FAN Yanhong, et al. Research progress of traditional Chinese medicine therapy in treatment of hyperplasia of mammary gland[J]. Journal of Liaoning University of Traditional Chinese Medicine, 2014,16(1):173-176.
[3] 周丽晶, 朱英. 近年中医外治法治疗乳腺增生症的概况研究[J]. 中医外治杂志, 2012,21(6):50-52.
ZHOU Lijing, ZHU Ying. Study on the external therapy of hyperplasia of mammary gland by traditional Chinese medicine in recent years[J]. Journal of External Therapy of Traditional Chinese Medicine, 2012,21(6):50-52.
[4] 吕文立, 杜鹏飞, 金璐璐. 乳腺增生的诊断及治疗的研究现状[J]. 黑龙江中医药, 2012,41(2):62-63.
LÜ Wenli, DU Pengfei, JIN Lulu. Research status of mammary gland hyperplasia diagnosis and treat-ment[J]. Heilongjiang Journal of Traditional Chinese Medicine, 2012,41(2):62-63.
[5] 龚佳佳, 顾学平, 肖俊, 等. 纺织品远红外功能整理[J].针织工业, 2018(11):78-80.
GONG Jiajia, GU Xueping, XIAO Jun, et al. Far - infrared functional finishing of textiles[J]. Knitting Industries, 2018(11):78-80.
[6] 俞春华, 乔鹏娟, 董文洪, 等. 含锗面料的负离子、远红外及抗菌性能测试[J]. 丝绸, 2017,54(12):17-20.
YU Chunhua, QIAO Pengjuan, DONG Wenhong, et al. The test of negative ions,far-infrared and antibacterial properties of germanium-containing fabric[J]. Journal of Silk, 2017,54(12):17-20.
[7] LIN J H, HUANG Y T, LI T T, et al. Bamboo charcoal/phase change material/stainless steel ring-spun complex yarn and its far-infrared/anion-releasing elastic warp-knitted fabric: Fabrication and functional evaluat-ion[J]. Journal of Industrial Textiles, 2016,46(2):624-642.
[8] 马民, 李德辉, 张桂娟, 等. 乳癖霜外用对乳腺增生模型大鼠乳腺组织病理形态学和AP-2α、C-erbB-2表达的影响[J]. 中国老年学杂志, 2012,32(4):738-742.
MA Min, LI Dehui, ZHANG Guijuan, et al. Effect of rupi cream on histomorphology and AP-2αand C-erb B-2 expressions in rats with hyperplasia of mammary gland[J]. Chinese Journal of Gerontology, 2012,32(4):738-742.
[9] WANG X, CHEN Y G, MA L, et al. Effect of Chinese medical herbs-Huiru Yizeng Yihao on hyper-prolactinemia and hyperplasia of mammary gland in mice[J]. African Journal of Traditional,Complementary and Alternative Medicines, 2013,10(4):24-35.
[10] WANG L S, ZHAO D Q, DI L, et al. The anti-hyperplasia of mammary gland effect of Thladiantha dubia root ethanol extract in rats reduced by estrogen and progestogen[J]. Journal of Ethnopharmacology, 2011,134(1):136-140.
doi: 10.1016/j.jep.2010.11.071 pmid: 21134436
[11] ZHANG G J, LI D H, GUO H, et al. Modulation of expression of P16 and Her2 in rat breast tissues of mammary hyperplasia model by external use of rupifang extract[J]. Journal of Traditional Chinese Medicine, 2012,32(4):651-656.
doi: 10.1016/s0254-6272(13)60087-4 pmid: 23427405
[12] 黄月玲, 文端成, 韦永芳, 等. 大鼠乳腺增生模型的建立[J]. 广东医学, 2002,23(4):362-363.
HUANG Yueling, WEN Duancheng, WEI Yongfang, et al. Establishment of rat mammary gland hyperplasia model[J]. Guangdong Medical Journal, 2002,23(4):362-363.
[13] 梁翠, 郑敏. 远红外纳米纺织品的性能测试[J]. 纺织学报, 2013,34(9):49-52.
LIANG Cui, ZHENG Min. Study on performance of far-infrared nanometer textiles[J]. Journal of Textile Research, 2013,34(9):49-52.
[14] 李俊, 蔡京昊, 方志财, 等. 负离子纤维材料的功能性研究[J]. 材料导报, 2014,28(s1):295-296,306.
LI Jun, CAI Jinghao, FANG Zhicai, et al. The research of the functionality of anion fabric[J]. Materials Review, 2014,28(s1):295-296,306.
[1] 严佳, 李刚. 医用纺织品的研究进展[J]. 纺织学报, 2020, 41(09): 191-200.
[2] 陈诗萍, 陈旻, 魏岑, 王富军, 王璐. 医用防护服的构效特点及其研发趋势[J]. 纺织学报, 2020, 41(08): 179-187.
[3] 王亚停, 赵家琪, 王碧佳, 冯雪凌, 钱国春, 隋晓锋. 超细纤维合成革的染色与功能整理研究进展[J]. 纺织学报, 2020, 41(07): 188-196.
[4] 周青青, 陈嘉毅, 祁珍明, 陈为健, 邵建中. 阻燃抗菌棉织物的制备及其性能表征[J]. 纺织学报, 2020, 41(05): 112-120.
[5] 常硕, 沈加加. 纺织品的石墨烯耐久功能整理研究进展[J]. 纺织学报, 2020, 41(02): 179-186.
[6] 易领, 张何, 傅昕, 李雯. 石墨烯基锆钛复合材料改性棉织物的制备及其远红外发射性能 [J]. 纺织学报, 2020, 41(01): 102-109.
[7] 王浩, 杜兆芳, 许云辉. 氧化壳聚糖/丝胶复合物的制备及其对棉织物的功能整理[J]. 纺织学报, 2019, 40(11): 119-124.
[8] 关晋平 匡小慧 唐人成 陈国强. 氯化铁对多巴胺改性蚕丝织物的功能整理[J]. 纺织学报, 2019, 40(02): 130-134.
[9] 高党鸽 李亚娟 吕斌 马建中. 纳米银制备及其在纺织品中的应用研究进展[J]. 纺织学报, 2018, 39(08): 171-178.
[10] 郑君红 李亮 刘让同 张丹. 羊毛角蛋白的制备及其对涤纶织物的整理[J]. 纺织学报, 2018, 39(03): 92-97.
[11] 朱维维 肖红 施楣梧. 超临界二氧化碳流体辅助下的纺织品整理技术研究进展[J]. 纺织学报, 2017, 38(11): 177-184.
[12] 李亮 李萍 石先国. 环保型含氟多功能整理剂的合成及其应用[J]. 纺织学报, 2015, 36(08): 74-77.
[13] 梁翠 郑敏. 远红外纳米纺织品的性能测试[J]. 纺织学报, 2013, 34(9): 49-0.
[14] 丛森滋, 曲铭海. 涤锦复合超细负离子纤维的研发[J]. 纺织学报, 2012, 33(5): 11-14.
[15] 黄晓梅;唐虹;纪超. 基于组织和纬纱变化的面料性能配对分析[J]. 纺织学报, 2010, 31(10): 50-54.
Viewed
Full text


Abstract

Cited

  Shared   
  Discussed   
No Suggested Reading articles found!