Journal of Textile Research ›› 2022, Vol. 43 ›› Issue (06): 44-48.doi: 10.13475/j.fzxb.20210310306

• Fiber Materials • Previous Articles     Next Articles

Preparation and property of silk fibroin based hydrogel scaffolds

LI Aiyuan, SHI Xinyu, YUE Wanfu(), YOU Weiyun   

  1. College of Animal Science and Technology·College of Veterinary Medicine, Zhejiang Agriculture and Forestry University, Hangzhou, Zhejiang 311300, China
  • Received:2021-03-31 Revised:2021-12-27 Online:2022-06-15 Published:2022-07-15
  • Contact: YUE Wanfu E-mail:yuewanfuzju@aliyun.com

Abstract:

In order to explore the preparation conditions and biocompatibility of silk fibroin hydrogel materials, a controllable hydrogel system consisting of two myristic phosphatidylglycerol (DMPG) and degumming silk fibroin (SF) was prepared. The SF chain was oriented by electrostatic and hydrophobic interactions between phospholipids and SF chains β. The SF hydrogel scaffolds were obtained by folding structure transformation. The cell proliferation rate, cell differentiation rate, the growth rate of animal scaffold cells and animal scaffold degradation rate were compared by different molar concentration of scaffolds. The results showed that the higher the concentration of DMPG was, the shorter the preparation time of SF hydrogel scaffolds. The 15 mmol/L DMPG shortened the preparation time of SF hydrogel scaffolds from 7 d to 10 min. DMPG induced SF hydrogel demonstrated no cytotoxicity, and when DMPG was 10 mmol/L the cell proliferation rate was the highest. SF hydrogel scaffold with DMPG concentration of 10 mmol/L was injected into the subcutaneous tissue of the Hu sheep's ear. The SF hydrogel scaffold containing Hu sheep muscle satellite cells grew muscle in the animal body, and no muscle could be produced by simply injecting scaffolds or cells. SF hydrogel scaffolds possess excellent biocompatibility, and with the increase of SF hydrogel scaffolds in animal, the scaffold gradually degraded and disappeared, exposing the muscle tissue.

Key words: tissue engineering, silk fibroin, hydrogel, cell proliferation and differentiation, degumming method, silk, vascularization, biocompatibility

CLC Number: 

  • S881.3

Tab.1

Relationship between cell proliferation rate and biocompatibility"

细胞增殖率/% 生物相容性/级
≥100 0
70~99
50~70
30~50
≤30

Fig.1

SEM images of silk before(a)and after(b) degumming(×1 000)"

Fig.2

Effect of DMPG concentration on SF gel of gel time"

Fig.3

Cytotoxicity of hydrogel scaffolds with DMPG different molar concentrations"

Fig.4

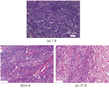
HE staining results of hydrogel layers for samples of different days(×200)"

Fig.5

Width of hydrogel layers in different days"

Fig.6

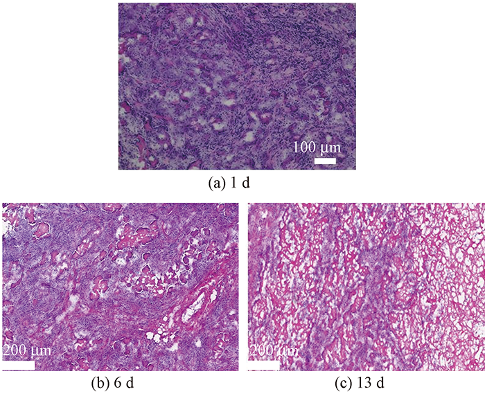
HE staining results of hydrogel scaffolds in different days"

[1] CIMA L G, VACANTI J P, VACANTI C, et al. Tissue engineering by cell transplantation using degradable polymer substrates[J]. Journal of Biotechnology Engineering, 1991, 113(2): 143-51.
[2] LI A Y, SHI X Y, YOU W Y, et al. Muscle-derived stem cells in silk fibroin hydrogels promotes muscle regeneration and angiogenesis in sheep models: an experimental study[J]. European Review for Medical and Pharmacological Sciences, 2022, 26(3): 787-798.
doi: 10.26355/eurrev_202202_27987 pmid: 35179745
[3] LANGER R. Tissue engineering: a new field and its challenges[J]. Pharmaceutical Research, 1997, 14(7): 840-841.
doi: 10.1023/A:1012131329148
[4] YOU R, ZHANG J, GU S, et al. Regenerated egg white/silk fibroin composite films for biomedical applications[J]. Mater Sci Eng C: Mater Biol Appl, 2017, 79: 430-435.
doi: 10.1016/j.msec.2017.05.063
[5] CIOCCI M, CACCIOTTI I, SELIKTAR D, et al. Injectable silk fibroin hydrogels functionalized with microspheres as adult stem cells-carrier systems[J]. Int J Biol Macromol, 2018, 108: 960-971.
doi: 10.1016/j.ijbiomac.2017.11.013
[6] NGUYEN T P, NGUYEN Q V, NGUYEN V H, et al. Silk fibroin-based biomaterials for biomedical applications: a review[J]. Polymers (Basel), 2019, 11(12): 1993.
doi: 10.3390/polym11121993
[7] EGAN G, PHUAGKHAOPONG S, MATTHEW S A L, et al. Impact of silk hydrogel secondary structure on hydrogel formation, silk leaching and in vitro res-ponse[J]. Scientific Reports, 2022, 12(1):24-51.
doi: 10.1038/s41598-021-03573-5
[8] CHOUHAN D, MANDAL B B. Silk biomaterials in wound healing and skin regeneration therapeutics: from bench to bedside[J]. Acta Biomater, 2020, 103: 24-51.
doi: 10.1016/j.actbio.2019.11.050
[9] YUAN T, LI Z, ZHANG Y, et al. Injectable ultrasonication-induced silk fibroin hydrogel for cartilage repair and regeneration[J]. Tissue Eng Part A, 2021, 27(17/18): 1213-1224.
doi: 10.1089/ten.tea.2020.0323
[10] WANG Y, RUDYM D D, WALSH A, et al. In vivo degradation of three-dimensional silk fibroin scaff-olds[J]. Biomaterials, 2008, 29(24/25): 3415-28.
doi: 10.1016/j.biomaterials.2008.05.002
[11] WANG Y, BELLA E, LEE C S, et al. The synergistic effects of 3-D porous silk fibroin matrix scaffold properties and hydrodynamic environment in cartilage tissue regeneration[J]. Biomaterials, 2010, 31(17): 4672-4681.
doi: 10.1016/j.biomaterials.2010.02.006
[12] YOSHIMIZU H. Preparation and characterization of silk fibroin powder and its application to enzyme immobilization[J]. J Appl Polym Sci, 1990, 40: 127-34.
doi: 10.1002/app.1990.070400111
[13] MIN B M, LEE G, KIM S H, et al. Electrospinning of silk fibroin nanofibers and its effect on the adhesion and spreading of normal human keratinocytes and fibroblasts in vitro[J]. Biomaterials, 2004, 25(7/8): 1289-1297.
doi: 10.1016/j.biomaterials.2003.08.045
[14] LI C, VEPARI C, JIN H J, et al. Electrospun silk-BMP-2 scaffolds for bone tissue engineering[J]. Biomaterials, 2006, 27(16): 3115-3124.
doi: 10.1016/j.biomaterials.2006.01.022
[15] MALAFAYA P B, SILVA G A, REIS R L. Natural-origin polymers as carriers and scaffolds for biomolecules and cell delivery in tissue engineering applications[J]. Adv Drug Deliv Rev, 2007, 59(4/5): 207-233.
doi: 10.1016/j.addr.2007.03.012
[16] WANG Y, KIM U J, BLASIOLI D J, et al. In vitro cartilage tissue engineering with 3D porous aqueous-derived silk scaffolds and mesenchymal stem cells[J]. Biomaterials, 2005, 26(34): 7082-7094.
doi: 10.1016/j.biomaterials.2005.05.022
[17] RIBEIRO V P, PINA S, OLIVEIRA J M, et al. Silk fibroin-based hydrogels and scaffolds for osteochondral repair and regeneration[J]. Adv Exp Med Biol, 2018, 1058: 305-325.
[18] BAKHSHANDEH B, ZARRINTAJ P, OFTADEH M O, et al. Tissue engineering; strategies, tissues, and biomaterials[J]. Biotechnology Genetic Engineering Revision, 2017, 33(2): 144-172.
[19] SOHN S, STREY H H, GIDO S P. Phase behavior and hydration of silk fibroin[J]. Biomacromolecules, 2004, 5(3): 751-757.
doi: 10.1021/bm0343693
[20] YUCEL T, LOVETT M L, KAPLAN D L. Silk-based biomaterials for sustained drug delivery[J]. J Control Release, 2014, 190: 381-397.
doi: 10.1016/j.jconrel.2014.05.059
[21] BHATTACHARJEE P, KUNDU B, NASKAR D, et al. Silk scaffolds in bone tissue engineering: an over-view[J]. Acta Biomater, 2017, 63: 1-17.
doi: 10.1016/j.actbio.2017.09.027
[1] GU Zhanghong, YAO Xiang, WANG Jinsi, ZHANG Yaopeng. Preparation and properties of single-layer and parallel silk fibroin fiber patterns with cell adhesion contrast properties [J]. Journal of Textile Research, 2022, 43(05): 1-6.
[2] LEI Caihong, YU Linshuang, ZHU Hailin, ZHENG Tao, CHEN Jianyong. Hemostasis properties of silk fibroin materials under different types of hydrolysis [J]. Journal of Textile Research, 2022, 43(04): 15-19.
[3] WANG Chenmeizi, WANG Ling, ZHANG Qingle, WANG Ying, XIA Xin. Preparation and property of composite hydrogel nonwoven based fresh-keeping material [J]. Journal of Textile Research, 2022, 43(03): 132-138.
[4] ZHANG Tao, WANG Fuping, CHEN Guobao, WU Jiyu, PANG Yani, CHEN Zhongmin. Preparation and performance of chitosan-based antibacterial gel [J]. Journal of Textile Research, 2022, 43(03): 71-77.
[5] FANG Shuaijun, ZHENG Peixiao, CHENG Shuangjuan, LI Huanhuan, QIAN Hongfei. Establishment of mathematical model and quantitative analysis for grafting rate of methylacrylamide grafted silk [J]. Journal of Textile Research, 2022, 43(02): 156-161.
[6] YAO Ruotong, ZHAO Jingyuan, YAN Yixin, DUAN Lirong, WANG Tian, YAN Jia, ZHANG Shujun, LI Gang. Fabrication of novel biodegradable braided nerve grafts for nerve regeneration [J]. Journal of Textile Research, 2022, 43(02): 125-131.
[7] WU Jiayin, WANG Hanchen, HUANG Biao, LU Qilin. Fabrication of fluorescent cellulose nanocrystals hydrogels for chloride ion response [J]. Journal of Textile Research, 2022, 43(02): 44-52.
[8] MIN Xiaobao, PAN Zhijuan. Quality and performance of biomass fiber/pineapple leaf fiber multi-component blended yarn [J]. Journal of Textile Research, 2022, 43(01): 74-79.
[9] WANG Songli, WANG Meilin, ZHOU Xiang, LIU Zunfeng. Research progress of artificial spider silk and imitation spider silk fiber [J]. Journal of Textile Research, 2021, 42(12): 174-179.
[10] PENG Xi, TU Yongjian, ZHOU Jiu. Design principle and method for gradient weft-backed structure with 2∶1 weft arrangement [J]. Journal of Textile Research, 2021, 42(12): 63-69.
[11] JIANG Yulin, WANG Hui, ZHANG Keqin. Research progress of silk fibroin-based hydrogel bioinks for 3D bio-printing [J]. Journal of Textile Research, 2021, 42(11): 1-8.
[12] LI Feng, YANG Jiahao, LAI Gengchang, WANG Jiannan, XU Jianmei. Research progress of polymer embolic microspheres [J]. Journal of Textile Research, 2021, 42(10): 180-189.
[13] YU Zhicai, LIU Jinru, HE Hualing, MA Shengnan, JIANG Huiyu. Research and application progress in fire retardant fabric based on polymeric hydrogel [J]. Journal of Textile Research, 2021, 42(09): 180-186.
[14] SUN Yusheng, ZUO Baoqi. Research progress of high-molecular polymer material for bone defect repair [J]. Journal of Textile Research, 2021, 42(08): 175-184.
[15] LIU Hao, LU Minglei, HUANG Xiaowei, WANG Na, WANG Xuefang, NING Xin, MING Jinfa. Preparation and characterization of silk fibroin hydrogel in acid-alcohol system [J]. Journal of Textile Research, 2021, 42(08): 41-48.
Viewed
Full text


Abstract

Cited

  Shared   
  Discussed   
No Suggested Reading articles found!