纺织学报 ›› 2019, Vol. 40 ›› Issue (03): 1-7.doi: 10.13475/j.fzxb.20180400207

• 纤维材料 •    下一篇

采用还原剂-甲酸法溶解制备羊毛角蛋白质溶液

李博1, 姚金波2,3(), 牛家嵘1, 王乐1, 冯懋1, 孙艳丽1   

  1. 1.天津工业大学 纺织科学与工程学院, 天津 300387
    2.武汉纺织大学 化学与化工学院, 湖北 武汉 430073
    3.武汉纺织大学 湖北省生物质纤维与生态染整重点实验室, 湖北 武汉 430073
  • 收稿日期:2018-04-02 修回日期:2018-11-30 出版日期:2019-03-15 发布日期:2019-03-15
  • 通讯作者: 姚金波
  • 作者简介:李博(1988—),男,博士生。主要研究方向为纤维结构与性能。
  • 基金资助:
    国家科技支撑计划项目(2014BAE01B02)

Preparation of wool keratin solution by reducing agent-formic acid process

LI Bo1, YAO Jinbo2,3(), NIU Jiarong1, WANG Le1, FENG Mao1, SUN Yanli1   

  1. 1. School of Textile Science and Engineering, Tianjin Polytechnic University, Tianjin 300387, China
    2. College of Chemistry and Chemical Engineering, Wuhan Textile University, Wuhan, Hubei 430073, China
    3. Hubei Key Laboratory of Biomass and Eco-Dyeing & Finishing, Wuhan Textile University, Wuhan, Hubei 430073, China
  • Received:2018-04-02 Revised:2018-11-30 Online:2019-03-15 Published:2019-03-15
  • Contact: YAO Jinbo

摘要:

为获得纤维溶解率高且蛋白质分子质量大的羊毛角蛋白质溶液,对溶解纤维的工艺方法进行研究和优化。在采用三羟基有机磷还原剂有效打开羊毛纤维分子内二硫键的基础上,重点研究了还原处理后羊毛纤维在甲酸溶液中的溶解状态。对纤维溶解率、角蛋白质溶液黏度和蛋白质分子质量分布等进行测试,获得还原剂-甲酸法溶解制备角蛋白质溶液的最优工艺,并分析了该角蛋白质溶液的稳定性能。结果表明:在角蛋白质溶液的最优制备工艺条件下,即预处理后的羊毛纤维质量为5 g,甲酸体积为100 mL,溶解温度为50 ℃,溶解时间为5 h时,羊毛纤维的溶解率为65%左右,角蛋白质的分子质量分布主要集中在40~50 ku、26 ku、14.4 ku处,且在常温环境下该羊毛角蛋白质溶液的稳定性较好。

关键词: 羊毛, 角蛋白质溶液, 还原剂, 甲酸, 蛋白质分子质量

Abstract:

In order to obtain the wool keratin solution with high fiber dissolution ratio and large protein molecular weight, the dissolution method of wool fibers was studied and optimized. On the basis of using organic phosphonic compounds (LKS-610) to effectively cleave the disulfide bonds in fibers, the dissolution state of pre-treated wool fibers in formic acid solution was studied. The fibers dissolution ratio, keratin solution viscosity and protein molecular weight distribution were tested as evaluation criteria, the optimal process for preparing keratin solution by using reducing agent-formic acid method was obtained, and the stability performance of keratin solution was also analyzed. The optimal dissolving process of wool fibers is that the mass of the pretreated wool fibers is 5 g, the volume of formic acid is 100 mL, the temperature is 50 ℃ and time is 5 h. Under the conditions, the dissolution ratio is about 65% and the molecular weights of keratin are distributed at 40-50 ku, 26 ku and 14.4 ku. In addition, the keratin solution shows good stability at normal temperature.

Key words: wool, keratin solution, reducing agent, formic acid, protein molecular weight

中图分类号: 

  • TS195.5

表1

LKS-610处理羊毛纤维试样的氨基酸含量测试结果"

氨基酸
名称
未处理羊毛 处理30 min羊毛 处理60 min羊毛
质量/
(g·(100 g)-1)
占氨基酸
百分比/%
质量/
(g·(100 g)-1)
占氨基酸
百分比/%
质量/
(g·(100 g)-1)
占氨基酸
百分比/%
天门冬氨酸 5.164 2 6.26 5.427 2 7.46 5.283 8 7.59
苏氨酸 4.830 5 5.88 4.174 5 5.74 3.897 3 5.60
丝氨酸 7.030 1 8.52 5.970 2 8.21 5.603 0 8.05
谷氨酸 11.074 4 13.42 11.209 0 15.42 10.819 0 15.54
甘氨酸 4.407 4 5.34 3.896 1 5.36 3.645 3 5.24
丙氨酸 3.342 3 4.05 4.474 2 6.15 4.673 6 6.71
胱氨酸 8.325 0 10.09 1.123 7 1.55 0.732 3 1.05
缬氨酸 3.990 8 4.83 3.701 1 5.09 3.440 8 4.94
蛋氨酸 0.627 3 0.76 0.497 1 0.68 0.415 6 0.60
异亮氨酸 2.664 2 3.23 2.552 4 3.51 2.484 0 3.57
亮氨酸 6.958 6 8.43 7.016 1 9.65 6.907 8 9.92
酪氨酸 4.257 3 5.16 3.748 4 5.16 3.572 4 5.13
苯丙氨酸 3.173 6 3.84 2.604 7 3.58 2.631 0 3.78
赖氨酸 2.865 8 3.47 2.926 5 4.03 2.957 0 4.25
NH3(色氨酸分解) 1.241 7 1.50 1.179 5 1.62 1.130 5 1.62
组氨酸 0.941 7 1.14 0.846 3 1.16 0.806 4 1.16
精氨酸 7.870 2 9.53 7.990 8 10.99 7.777 1 11.17
脯氨酸 3.775 5 4.57 3.369 1 4.63 2.825 1 4.06
氨基酸总量 82.545 3 100.00 72.706 8 100.00 69.602 1 100.00

图1

未处理羊毛纤维在不同甲酸溶解时间下的溶解状态"

图2

LKS-610处理后羊毛纤维在不同甲酸溶解时间下的溶解状态"

表2

不同质量羊毛纤维在甲酸中的溶解率和溶液黏度变化"

溶液中羊毛质量/g 纤维溶解率/% 溶液黏度/(Pa·s)
3 72.3 0.023
4 70.6 0.040
5 66.7 0.054
6

图3

不同溶解纤维质量下试样的SDS-PAGE凝胶电泳测试结果 a为标准蛋白质谱带;b~e分别为纤维质量等于3、4、5、6 g的试样的电泳谱带。"

表3

不同溶解温度下纤维的溶解率和溶液黏度变化"

溶解温度/ ℃ 纤维溶解率/% 溶液黏度/(Pa·s)
20 52.9 0.015
30 54.7 0.052
40 56.3 0.045
50 63.5 0.066
60 67.2 0.048
70 72.9 0.030
80 80.6 0.014

图4

不同溶解温度下试样的SDS-PAGE凝胶电泳测试结果 a1为标准蛋白质谱带;b1~h1分别为溶解温度为20、30、40、50、60、70、80 ℃时试样的电泳谱带。"

表4

不同溶解时间下纤维的溶解率和溶液黏度变化"

纤维溶解时间/h 纤维溶解率/% 溶液黏度/(Pa·s)
3 47.9 0.047
4 52.7 0.050
5 62.5 0.060
6 68.9 0.039

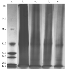
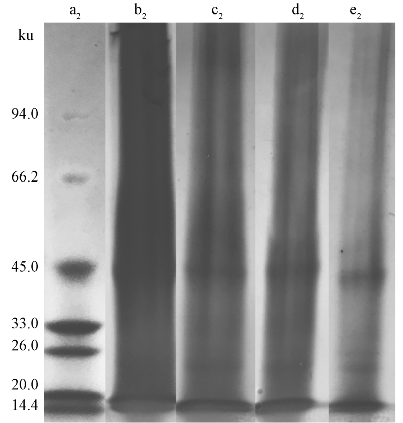
图5

不同溶解时间下试样的SDS-PAGE凝胶电泳测试结果 a2为标准蛋白质谱带;b2~e2分别为纤维溶解时间为3、4、5、6 h后试样的电泳谱带。"

图6

羊毛角蛋白质溶液室温下静置不同时间后的分子质量分布 a3为标准蛋白质谱带;b3~f3分别为角蛋白质溶液静置0、1、3、7、14 d后试样的电泳谱带。"

[1] 蔡再生. 纤维化学与物理 [M]. 北京: 中国纺织出版社, 2009: 195-208.
CAI Zaisheng. Chemistry and Physics of Fibers[M]. Beijing: China Textile & Apparel Press, 2009: 195-208.
[2] 孙艳丽, 姚金波, 李博, 等. 羊毛角蛋白质溶液的离子液体法制备[J]. 纺织学报, 2015,36(5):59-62.
SUN Yanli, YAO Jinbo, LI Bo, et al. Preparation of wool keratin solution with ionic liquid[J]. Journal of Textile Research, 2015,36(5):59-62.
[3] 张恒, 李戎, 王魁, 等. 还原法与离子液体溶解法制备羊毛角蛋白膜[J]. 纺织学报, 2015,36(6):55-59.
ZHANG Heng, LI Rong, WANG Kui, et al. Preparation of wool keratin membranes prepared by ionic liquid method and reduction C method[J]. Journal of Textile Research, 2015,36(6):55-59.
doi: 10.1177/004051756603600107
[4] SHAVANDI A, CARNE A, BEKHIT A A, et al. An improved method for solubilisation of wool keratin using peracetic acid[J]. Journal of Environmental Chemical Engineering, 2017,5(2):1977-1984.
doi: 10.1016/j.jece.2017.03.043
[5] ZHU H, LI R, WU X, et al. Controllable fabrication and characterization of hydrophilic PCL/wool keratin nanonets by electronetting[J]. European Polymer Journal, 2017,86:154-161.
doi: 10.1016/j.eurpolymj.2016.11.023
[6] XU H, MA Z, YANG Y. Dissolution and regeneration of wool via controlled disintegration and disentanglement of highly crosslinked keratin[J]. Journal of Materials Science, 2014,49(21):7513-7521.
doi: 10.1007/s10853-014-8457-z
[7] ALUIGI A, ZOCCOLA M, VINEIS C, et al. Study on the structure and properties of wool keratin regenerated from formic acid[J]. International Journal of Biological Macromolecules, 2007,41(3):266.
pmid: 17467791
[8] FAN J, YU W D. Investigation in the swelling and disintegration of wool fiber in formic acid[J]. Journal of Xi'an Polytechnic University, 2009,23(2):310-314.
[9] SVAGERA Z, HANZL K D, SIMEK P, et al. Study of disulfide reduction and alkyl chloroformate derivatization of plasma sulfur amino acids using gas chromatography-mass spectrometry[J]. Analytical & Bioanalytical Chemistry, 2012,402(9):2953.
doi: 10.1007/s00216-012-5727-y pmid: 22349320
[10] 高普, 刘建勇. TCEP羊毛低温染色助剂的性能[J]. 印染, 2012,38(17):12-16.
GAO Pu, LIU Jianyong. Properties of TECP for low temperature dyeing of wool fabric[J]. China Dyeing & Finishing, 2012,38(17):12-16.
[11] 湛海玲, 郭艺雯, 于伟东. 基于还原法的羊毛溶解及其效果表征[J]. 纺织学报, 2009,30(10):37-40.
ZHAN Hailing, GUO Yiwen, YU Weidong. Wool dissolution based on reduction method and characterization of its effect[J]. Journal of Textile Research, 2009,30(10):37-40.
doi: 10.1177/004051756003000104
[12] 王江波, 刘建勇, 王洁, 等. 基于新型还原剂羊毛角蛋白的高效溶解[J]. 材料导报, 2012,26(6):7-9.
WANG Jiangbo, LIU Jianyong, WANG Jie, et al. The efficent dissolution of wool based on new reductant[J]. Materials Review, 2012,26(6):7-9.
[13] TONIN C, ALUIGI A, VINEIS C, et al. Thermal and structural characterization of poly(ethylene-oxide)/keratin blend films[J]. Journal of Thermal Analysis & Calorimetry, 2007,89(2):601-608.
doi: 10.1007/s10973-006-7557-7
[14] HILL P, BRANTLEY H, VAN D M. Some properties of keratin biomaterials: kerateines[J]. Biomaterials, 2010,31(4):585-593.
doi: 10.1016/j.biomaterials.2009.09.076 pmid: 19822360
[1] 陈咏, 王晶晶, 王朝生, 顾栋华, 乌婧, 王华平. 低聚物对生物基聚对苯二甲酸丙二醇酯结晶性能的影响[J]. 纺织学报, 2020, 41(10): 1-6.
[2] 李瑞卿, 王伟, 魏炳举, 周长文, 张淑桃. 应用环保型还原剂的硫化黑染色工艺[J]. 纺织学报, 2020, 41(08): 50-54.
[3] 王晶晶, 陈咏, 王朝生, 王华平, 边树昌, 乌婧. 生物基聚对苯二甲酸丙二醇酯低聚物的提取及其热性能[J]. 纺织学报, 2020, 41(06): 1-7.
[4] 郭增革, 姜兆辉, 贾曌, 蒲丛丛, 李鑫, 程博闻. 压力对聚对苯二甲酸乙二醇酯-聚酰胺6共聚物/聚酰胺6共混物流变性能的影响[J]. 纺织学报, 2019, 40(12): 27-31.
[5] 崔桂新, 董永春, 王鹏. 羊毛/铁配合物非均相芬顿反应光催化剂的制备及其应用性能[J]. 纺织学报, 2019, 40(12): 68-73.
[6] 涂莉, 孟家光, 李欣, 李娟子. 废旧毛/丝/棉混纺面料的组分分析及其剥色工艺[J]. 纺织学报, 2019, 40(11): 75-80.
[7] 韦玲俐, 邹沁杉, 王璐, 罗菁, 夏鑫. 无氟自清洁功能型羊毛/羊绒混纺织物的研发[J]. 纺织学报, 2019, 40(09): 102-107.
[8] 张景清, 粟晖, 梁晓芸, 陈维骥, 姚志湘. 基于斜投影的纯羊毛毛线中酸性红26的快速检测[J]. 纺织学报, 2019, 40(08): 85-88.
[9] 周铃, 靳向煜. 热气流固结纤维网串珠结构可控性及其结晶动力学[J]. 纺织学报, 2019, 40(08): 27-34.
[10] 包红, 徐水, 张小宁, 成国涛, 朱勇. 家蚕丝素蛋白阳离子化及其对羊毛性状的影响[J]. 纺织学报, 2019, 40(07): 24-30.
[11] 梅静霞, 张楠, 王强, 袁久刚, 范雪荣. 基于修饰蛋白酶的羊毛织物防毡缩整理[J]. 纺织学报, 2019, 40(06): 73-78.
[12] 安芳芳, 房宽峻, 刘秀明, 蔡玉青, 韩双, 杨海贞. 羊毛织物的蛋白酶改性对墨滴铺展及颜色性能的影响[J]. 纺织学报, 2019, 40(06): 58-63.
[13] 刘淑萍, 李亮, 刘让同, 崔世忠, 王艳婷. 羧甲基纤维素钠改性角蛋白膜的结构与性能[J]. 纺织学报, 2019, 40(06): 14-19.
[14] 邢文宇, 邓娜, 辛斌杰, 于晨. 基于多特征融合图像分析技术的羊毛与羊绒鉴别[J]. 纺织学报, 2019, 40(03): 146-152.
[15] 陈静静, 王必其, 王雪琴. 针刺复合羊毛面料的设计及其性能[J]. 纺织学报, 2019, 40(03): 49-53.
Viewed
Full text


Abstract

Cited

  Shared   
  Discussed   
No Suggested Reading articles found!