纺织学报 ›› 2019, Vol. 40 ›› Issue (02): 119-124.doi: 10.13475/j.fzxb.20181005906

• 染整与化学品 • 上一篇    下一篇

超声波辅助对乳化交联工艺制备丝素蛋白微球形貌的影响

王宗乾1,2(), 王邓峰1, 周杭2, 李俊1   

  1. 1.安徽工程大学 纺织服装学院, 安徽 芜湖 241000
    2.安徽工程大学 安徽省纺织印染行业技术中心, 安徽 芜湖 241000
  • 收稿日期:2018-10-30 修回日期:2018-11-03 出版日期:2019-02-15 发布日期:2019-02-01
  • 作者简介:王宗乾(1982—),男,副教授,博士。主要研究方向为先进印染加工技术,功能化纤维的结构调控与成形技术。E-mail: wzqian@ahpu.edu.cn
  • 基金资助:
    国家级大学生创新创业计划项目(201710363033);安徽省高校自然科学研究重点项目(KJ2016A796);安徽省高校自然科学研究重点项目(1804a09020077);芜湖市科技计划重点项目(2017yf14);安徽工程大学大学生科研项目(2017DZ20)

Effect of ultrasonic assistance on morphology of silk fibroin microspheres prepared by emulsion cross-linking process

WANG Zongqian1,2(), WANG Dengfeng1, ZHOU Hang2, LI Jun1   

  1. 1. School of Textile and Garment, Anhui Polytechnic University, Wuhu, Anhui 241000, China
    2. The Technical Center of Textile Dyeing and Finishing of Anhui Province, Anhui Polytechnic University, Wuhu, Anhui 241000, China
  • Received:2018-10-30 Revised:2018-11-03 Online:2019-02-15 Published:2019-02-01

摘要:

为解决经乳化交联工艺制备的丝素蛋白空白微球极易发生集聚且粒径分布不匀的问题,在乳化交联过程中采用了超声波辅助工艺,探讨其对微球聚集、形貌的影响规律。借助激光粒度分析仪、扫描电子显微镜分析了微球的粒度分布和形貌特征。研究结果表明:无超声波辅助下,乳化交联工艺制备微球的平均粒径为15.08 μm,粒径标准偏差(SD)为0.515,聚集现象明显;超声波辅助后,微球平均粒径随超声频率和超声功率的增加而减小,在 45 kHz、100 W的超声波条件下制备的微球粒径减小至原来的26%,微球的SD值同时降低,证明超声波辅助可显著改善微球的团聚现象,促进微球粒径的均匀分布。

关键词: 乳化交联工艺, 丝素蛋白, 空白微球, 超声波, 粒径分布

Abstract:

In order to solve the easy aggregation and nonuniform particle size distribution of silk fibroin blank microspheres prepared by emulsion cross-linking process, ultrasonic assistance was employed in the emulsion cross-linking process. The particle size distribution and the morphology of microspheres were measured by laser particle size analyzer and scanning electron microscopy. The results show that in the absence of the ultrasonic assistance, the microspheres prepared by emulsion cross-linking process have the average particle size of 15.08 μm with the standard deviation (SD) value of 0.515, and the aggregation is very obvious. However, in the presence of ultrasonic assistance, the average particle size decreases with the increase of ultrasonic frequency and ultrasonic power. The particle size of the microspheres prepared in the presence of the ultrasonic assistance at 45 kHz and 100 W reduces to 26% of the original one. The SD value of microspheres also decreases, indicating that ultrasonic assistance can significantly reduce the aggregation of the microspheres and promote the uniform distribution of the particle size of the microspheres.

Key words: emulsification crosslinking process, silk fibroin, blank microsphere, ultrasonic, particle size distribution

中图分类号: 

  • R318.08

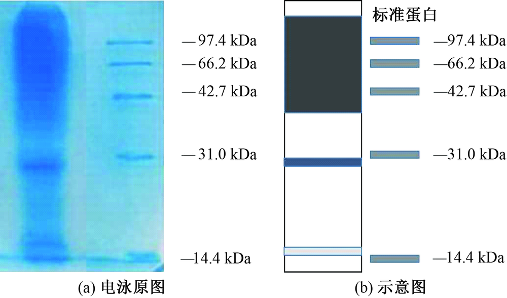
图1

丝素蛋白分子质量分布"

图2

空白微球粒径分布图"

图3

空白微球形貌"

表1

超声频率对微球粒径分布的影响"

频率/kHz 平均粒径/μm 体积百分比*/% 标准偏差
28 11.02 28.15 0.459
45 8.52 30.24 0.436
80 3.34 32.31 0.414

图4

超声频率对微球形貌的影响(×500)"

表2

超声功率对微球粒径分布的影响"

功率/W 平均粒径/μm 体积百分比/% 标准偏差
40 8.52 30.24 0.436
60 7.21 30.39 0.428
80 5.92 31.04 0.421
100 4.07 31.78 0.415

图5

超声功率对微球形貌的影响"

[1] TZENOV P, VASILEVA J, PANTALEEVA D. Silk shell fibroin content heterosis expression in Bulgarian F1 silkworm Bombyx mori L hybrids[J]. Indian Journal of Sericulture, 2010,49(2):110-114.
[2] KUNDU B, RAJKHOWA R, KUNDU S C, et al. Silk fibroin biomaterials for tissue regenerations[J]. Advanced Drug Delivery Reviews, 2013,65(4):457-70.
pmid: 23137786
[3] HIGA K, TAKESHIMA N, MORO F, et al. Porous silk fibroin film as a transparent carrier for cultivated corneal epithelial sheets[J]. Journal of Biomaterials Science Polymer Edition, 2011,22(17):2261.
doi: 10.1163/092050610X538218 pmid: 21092419
[4] KAPOOR S, KUNDU S C. Silk protein-based hydrogels: promising advanced materials for biomedical applications[J]. Acta Biomaterialia, 2015,31:17-32.
doi: 10.1016/j.actbio.2015.11.034 pmid: 26602821
[5] 高欣, 张海萍, 陈宇, 等. 丝素蛋白多孔材料及其在组织工程领域的应用[J]. 纺织学报, 2008,29(10):132-136.
GAO Xin, ZHANG Haiping, CHEN Yu, et al. Porous silk fibroin material and its application in tissue engineering[J]. Journal of Textile Research, 2008,29(10):132-136.
[6] BHATTACHARJEE P, KUNDU B, NASKAR D, et al. Nanofibrous nonmulberry silk/PVA scaffold for osteoinduction and osseointegration[J]. Biopolymers, 2015,103(5):271-284.
doi: 10.1002/bip.22594 pmid: 25418966
[7] SRIHANAM P, SRISUWAN Y, IMSOMBUT T, et al. Silk fibroin microspheres prepared by the water-in-oil emulsion solvent diffusion method for protein de-livery[J]. Korean Journal of Chemical Engineering, 2011,28(1):293-297.
[8] 白荣. 乳酸-羟基乙酸共聚物缓释微球的制备工艺与生物学性能[J]. 中国组织工程研究, 2009,13(34):6769-6772.
BAI Rong. Preparation and biological properties of lactic acid-glycolic acid copolymer sustained release microspheres[J]. Journal of Chinese Tissue Engineering, 2009,13(34):6769-6772.
[9] RUI Y, WANG L, ZHAO J, et al. Template-free synjournal of hierarchical TiO2 hollow microspheres as scattering layer for dye-sensitized solar cells[J]. Applied Surface Science, 2016,369:170-177.
[10] JIN Y, LU H F, GUO X L, et al. The effect of water addition on the surface energy, bulk and flow properties of lignite[J]. Fuel Processing Technology, 2018,176:91-100.
[11] ZANDSTRA J, HIEMSTRA C, PETERSEN A H, et al. Microsphere size influences the foreign body reaction[J]. European Cells & Materials, 2014,28:335-347.
[12] FANG S, ZHAO H, ZHANG Q, et al. The application status and development trends of ultrasonic machining technology[J]. Journal of Mechanical Engineering, 2017,53(19):22-32.
[13] 潘岳林, 杨明英, 邓连霞, 等. 自组装方法制备丝素微球及其结构与性能表征[J]. 蚕业科学, 2015,41(4):729-733.
PAN Yuelin, YANG Mingying, DENG Lianxia, et al. Preparation of silk fibroin microspheres by self-assembly method and its structure and performance characterization[J]. Sericulture Science, 2015,41(4):729-733.
[14] 杨道伟. 丝素空白微球的制备[J]. 药学研究, 2013,32(10):590-592.
YANG Daowei. Preparation of silk fibroin blank microspheres[J]. Pharmaceutical Research, 2013,32(10):590-592.
[15] 王鼎, 朱晶心, 陈松, 等. 以丝素蛋白微球为模板制备介孔SiO2空心微球[J]. 化工新型材料, 2017(12):216-220.
WANG Ding, ZHU Jingxin, CHEN Song, et al. Preparation of mesoporous SiO2 hollow microspheres using silk fibroin microspheres as template[J]. New Chemical Materials, 2017(12):216-220.
[16] SHAN J J, ZHEN-LEI D U, QING L I, et al. Application of ultrasonic in chemical industry[J]. Hebei Journal of Industrial Science & Technology, 2009,26(2):127-130.
[17] PRITCHARD E M, KAPLAN D L. Silk fibroin biomaterials for controlled release drug delivery[J]. Expert Opinion on Drug Delivery, 2011,8(6):797-811.
doi: 10.1517/17425247.2011.568936 pmid: 21453189
[18] GUESMI A, LADHARIN, SAKLI F. Ultrasonic preparation of cationic cotton and its application in ultrasonic natural dyeing[J]. Ultrasonics Sonochemistry, 2013,20(1):571-579.
doi: 10.1016/j.ultsonch.2012.04.012 pmid: 22677454
[19] 郭生伟, 王琪, 赵越. 超声辐照乳液聚合制备聚丙烯酸正丁酯空心微球[J]. 高分子学报, 2009,1(9):891-895.
GUO Shengwei, WANG Qi, ZHAO Yue. Preparation of polybutyl n-butyl acrylate hollow microspheres by ultrasonic irradiation emulsion polymerization[J]. Acta Polymerica Sinica, 2009,1(9):891-895.
[20] 汪衍涛, 李翔龙, 刘一凡, 等. 电火花-超声复合加工法制备镍微球时非电工艺参数对镍微球尺寸的影响规律[J]. 机械工程学报, 2015,51(11):195-200.
WANG Yantao, LI Xianglong, LIU Yifan, et al. Effect of non-electrical process parameters on nickel microsphere size during preparation of nickel microspheres by electric spark-ultrasonic composite processing[J]. Journal of Mechanical Engineering, 2015,51(11):195-200.
[21] 王伟华, 姜子涛, 李荣. 超声波辅助溶胶-凝胶法制备多孔微米级钛胶微球[J]. 材料导报, 2013,27(24):53-57.
WANG Weihua, JIANG Zitao, LI Rong. Preparation of porous micron titanium adhesive microspheres by ultrasonic-assisted sol-gel method[J]. Journal of Materials Review, 2013,27(24):53-57.
[22] 王宗乾, 杨海伟, 王邓峰. 脱胶对蚕丝纤维的溶解及丝素蛋白性能的影响[J]. 纺织学报, 2018(4):69-76.
WANG Zongqian, YANG Haiwei, WANG Dengfeng. Effects of degumming on the dissolution of silk fibroin and the properties of silk fibroin[J]. Journal of Textile Research, 2018(4):69-76.
[23] WANG Z, YANG H, LI W, et al. Effect of silk degumming on the structure and properties of silk fib-roin[J]. Journal of the Textile Institute, 2018(6):1-7.
[24] 张雨青. 蚕丝脱胶方法的比较分析[J]. 蚕业科学, 2002,28(1):75-79.
ZHANG Yuqing. Comparative analysis of silk degumming methods[J]. Sericulture Science, 2002,28(1):75-79.
[25] 吴章伟, 冯新星, 朱海霖, 等. 不同溶解体系的丝素蛋白分子质量及对再生丝素膜性能的影响[J]. 蚕业科学, 2010,36(4):707-712.
WU Zhangwei, FENG Xinxing, ZHU Hailin, et al. Molecular weight of silk fibroin in different dissolution systems and its effect on the properties of regenerated silk fibroin film[J]. Sericulture Science, 2010,36(4):707-712.
[26] HAN Y, RADZIUK D, SHCHUKIN D, et al. Stability and size dependence of protein microspheres prepared by ultrasonication[J]. Journal of Materials Chemistry, 2008,18(42):5162-5166.
[1] 杨小兵, 程钧, 张守鑫, 姚红, 陆林, 丁松涛. 口罩过滤效率检测用颗粒物粒径的换算和标准比对[J]. 纺织学报, 2020, 41(08): 152-157.
[2] 王宗乾, 杨海伟, 周剑, 李长龙. 尿素脱胶对丝素蛋白气凝胶力学性能的影响[J]. 纺织学报, 2020, 41(04): 9-14.
[3] 孙广东, 黄益, 邵建中, FAN Qinguo. 光交联丝素蛋白水凝胶的蓝光引发体系[J]. 纺织学报, 2020, 41(04): 64-71.
[4] 钟红荣, 方艳, 包红, 吴婷芳, 张小宁, 徐水, 朱勇. 丝素基双层敷料的制备及其性能[J]. 纺织学报, 2020, 41(02): 13-19.
[5] 张治斌, 李刚, 毛森贤, 厉巽巽, 陈玉霜, 毛青山, 李翼, 潘志娟, 王晓沁. 丝素蛋白/壳聚糖微球制备及其抗菌性能[J]. 纺织学报, 2019, 40(10): 7-12.
[6] 包红, 徐水, 张小宁, 成国涛, 朱勇. 家蚕丝素蛋白阳离子化及其对羊毛性状的影响[J]. 纺织学报, 2019, 40(07): 24-30.
[7] 林永佳, 杨董超, 张佩华, 顾岩. 再生丝素蛋白/脱细胞真皮基质共混纳米纤维膜的制备及其性能[J]. 纺织学报, 2019, 40(07): 13-18.
[8] 李洋, 张元明, 姜伟, 张建明, 王思社, 苏建军, 韩光亭. 茜草植物染料染色莫代尔纤维的超声波处理[J]. 纺织学报, 2019, 40(04): 83-89.
[9] 周倩 袁久刚 李澜 王平 王强. 丝素蛋白的磷酸化及其仿生矿化膜的制备[J]. 纺织学报, 2018, 39(11): 8-13.
[10] 王宗乾 杨海伟 汤立洋 李长龙. 丝素蛋白/聚乙烯醇复合膜的制备及其表征[J]. 纺织学报, 2018, 39(11): 14-19.
[11] 姚勇波 颜志勇 李喆 易洪雷 张玉梅 王华平. 牵伸倍率分配对纤维素/丝素蛋白共混纤维形态结构的影响[J]. 纺织学报, 2018, 39(06): 13-18.
[12] 李鹏飞 邓桦 马军 刘红斌 刘珍珠. 再生丝素蛋白溶液脱盐新工艺及其应用[J]. 纺织学报, 2018, 39(05): 20-24.
[13] 王宗乾 杨海伟 王邓峰. 脱胶对蚕丝纤维的溶解及丝素蛋白性能的影响[J]. 纺织学报, 2018, 39(04): 69-76.
[14] 吴惠英. 脱胶工艺对蚕丝溶解及再生丝素蛋白纤维性能的影响[J]. 纺织学报, 2017, 38(08): 75-80.
[15] 周步光 张宇慧 王平 王强 范雪荣. 丝素/丙烯酰胺/丙烯酸吸水复合材料的紫外光辐照法制备[J]. 纺织学报, 2017, 38(05): 25-30.
Viewed
Full text


Abstract

Cited

  Shared   
  Discussed   
No Suggested Reading articles found!