Journal of Textile Research ›› 2020, Vol. 41 ›› Issue (08): 166-171.doi: 10.13475/j.fzxb.20200303306

• Column: Medical Protective Textiles • Previous Articles     Next Articles

Research progress of flash spinning nano/micro-fiber nonwoven technology

XIA Lei1(), CHENG Bowen2, XI Peng3, ZHUANG Xupin1, ZHAO Yixia1, LIU Ya1, KANG Weimin1, REN Yuanlin1   

  1. 1. School of Textile Science and Engineering, Tiangong University, Tianjin 300387, China
    2. College of Chemical Engineering and Materials Science, Tianjin University of Science & Technology, Tianjin 300222, China
    3. School of Material Science and Engineering, Tiangong University, Tianjin 300387, China
  • Received:2020-03-12 Revised:2020-05-28 Online:2020-08-15 Published:2020-08-21

Abstract:

In order to expand the preparation methods of nano/micro-fibers and broaden the source of medical protective suit fabrics, the research progress in flash spinning nano/micro-fibers nonwoven and the application as protective suit were reviewed. The types of raw materials used in flash spinning and the current problems were introduced, and the spinning technology, process and products were described. The research status and trends of flash spinning technology were summarized, while the characteristics and applications of flash spinning nonwovens were analyzed. The flash spinning nonwovens, due to their structural and property features, can be used as a protective fabric, and the classification and the existing problems in current use were discussed. The flash spinning technology is a nano/micro-fiber nonwoven fabric preparation technology with good development prospect at present, and it is of great significance to improve the technical level of China's nonwovens industry and protect people's health and life.

Key words: flash spinning, nano/micro-fiber, nonwoven, protective suit, spinning principle

CLC Number: 

  • TS174.8

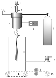
Fig.1

Schematic diagram of flash spinning equipment"

Fig.2

Schematic diagram of flash spinning progress(a) and nano/micro-fiber network structure(b)"

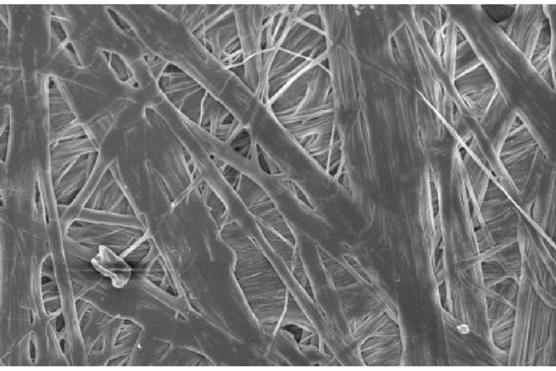
Fig.3

SEM image of flash spinning nonwoven(×600)"

[1] REVAIAH R, KOTRESH T. Technical textiles for military applications[J]. Journal of The Textile Institute, 2020,111(2):273-308.
[2] GUO D C, SUN Z Y, XU L D. Water-soluble luminescent-electrical magnetic trifunctional composite nanofibers prepared via electrospinning technique[J]. Materials Letters, 2015,159(11):159-162.
[3] TANG X Y, YU Y. Electrospinning preparation and characterization of alumina nanofibers with high aspect ratio[J]. Ceramics International, 2015,41(8):9232-9238.
[4] ZHOU W P, LI Z, ZHANG Q. Gas flow-assisted alignment of super long electrospun nanofibers[J]. Journal of Nanoscience and Nanotechnology, 2007,7(8):2667-2673.
pmid: 17685282
[5] 蔡莉, 吴昊, 廖学品, 等. 胶原纤维为模版制备TiO2及La/TiO2纳米纤维及光催化活性研究[J]. 无机化学学报, 2011,27(4):611-618.
CAI Li, WU Hao, LIAO Xuepin, et al. Synjournal and photo-catalytic activities of TiO2 and La/TiO2 nano-fiber using collagen fiber as template[J]. Chinese Journal of Inorganic Chemistry, 2011,27(4):611-618.
[6] PAPEN B, LAN B, GRIJPMA D, et al. A facile method to fabricate poly(L-lactide) nano-fibrous morphologies by phase inversion[J]. Acta Biomaterialila, 2010,6(7):2477-2483.
[7] ALASSOD A, ABEDALWAFA M, XU G B. Evaluation of polypropylene melt blown nonwoven as the interceptor for oil[J]. Environmental Technology, 2020,1:1-36.
[8] 杜晨辉, 夏磊, 刘亚. 闪蒸纺超细纤维非织造布应用研究[J]. 非织造布, 2008,16(2):27-30.
DU Chenhui, XIA Lei, LIU Ya. Application and researches of the flash-spinning ultra-fine fiber nonwovens[J]. Nonwovens, 2008,16(2):27-30.
[9] MCGINTY B, MILDLOTHINAN V. Flash-spun productes: US9844176[P]. 2004-02-26.
[10] SHIN H. Flash spinning solution and flash-spinning process using straight chain hydrofluorocar-bon co-solvents: US6046118[P]. 2004-05-21.
[11] THOMAS A S. Flash-spinning process and solution: US 5123983[P]. 2002-06-01.
[12] 阿曼特罗特J E, 马林R A, 马沙尔L R. 形成均匀分布材料的方法: 200480008674.0[P]. 2009-09-09.
AMANTROTH J E, MARIN R A, MARCHAL L R. Method for forming uniformly distributed material: 200480008674.0[P]. 2009-09-09.
[13] 任元林, 程博闻. 闪蒸非织造布工艺研究及应用的进展[J]. 产业用纺织品, 2006,24(2):1-4.
REN Yuanlin, CHENG Bowen. Evolvement of study of manufacturing process and application of flash spinning nonwovens[J]. Technical Textiles, 2006,24(2):1-4.
[14] BLADES H, WHITE J R. Flash spinning solution: US 3081519[P]. 1963-03-19.
[15] 范米维德J V, 施米茨C, 马蒂伊尤J, 等. 丛丝片材: 201580032522.2[P]. 2017-05-31.
FAMIDEL J V, SCHMITZ C, MATHIEU J, et al. Fiber bundle sheet: 201580032522.2[P]. 2017-05-31.
[16] 施米茨C, 范米维德J V. 闪蒸纺丝方法:201680033302.6[P]. 2018-03-27.
SCHMITZ C, FAMIDEL J V. Flash spinning method: 201680033302.6[P]. 2018-03-27.
[17] ANDREW P, HYUNKOOK S. Plexifilamentary strand of blended polymers: US6096421A[P]. 2000-08-01.
[18] 施米茨C, 范米维德J V. 闪蒸纺丝方法、纺丝混合物及其用途: 200380022743.9[P]. 2007-09-05.
SCHMITZ C, FAMIDEL J V. Flash spinning method, spinning mixture and its application: 200380022743.9[P]. 2007-09-05.
[19] 马林R A, 马沙尔L R. 闪蒸纺制的薄片材料: 00814511.3[P]. 2005-10-05.
MARIN R A MARSHAL L R. Flash-spun sheet material: 00814511.3[P]. 2005-10-05.
[20] 魏恩伯格M G, 哈丁T W. 包含亚微米长丝的闪纺纤网及其成形方法: 200580043448.0[P]. 2011-05-11.
WEIBERG M G, HARTING T W. Flash spinning web containing sub-micro filaments and forming method: 200580043448.0[P]. 2011-05-11.
[21] 冷纯廷, 李旭阳, 张旭. 闪蒸法非织造布的应用现状及前景[J]. 产业用纺织品, 1998,16(8):27-28.
LENG Chunting, LI Xuyang, ZHANG Xu. Application present and prospect of flash spinning nonwovens[J]. Technical Textiles, 1998,16(8):27-28.
[22] 庄毅, 张玉梅, 王华平. 闪蒸纺丝技术[J]. 合成纤维工业, 2000(6):26-28.
ZHUANG Yi, ZHANG Yumei, WANG Huaping. Technology of flash spinning[J]. China Synthetic Fiber Industry, 2000(6):26-28.
[23] 吴卫星, 袁晓燕. 闪蒸法非织造布的研究进展[J]. 天津工业大学学报, 2004,23(4):98-100.
WU Weixing, YUAN Xiaoyan. Study advances of flash-spun nonwovens[J]. Journal of Tianjin Polytechnic University, 2004,23(4):98-100.
[24] 孙晓慧, 郭秉臣. 闪蒸法非织造布的生产与应用前景[J]. 非织造布, 2006,12(6):8-11.
SUN Xiaohui, GUO Bingchen. Development and application foreground of flash nonwovens[J]. Nonwovens, 2006,12(6):8-11.
[25] 阚泓, 王国建. 闪蒸法非织造布专利技术分析[J]. 纺织科技进展, 2019(9):28-33.
KAN Hong, WANG Guojian. Patent analysis on flash spinning technology[J]. Progress in Textile Science & Technology, 2019(9):28-33.
[26] 罗章生, 徐俊勇, 罗铮. 一种喷嘴及设有该喷嘴的闪蒸纺丝设备:201821501901.9[P]. 2019-07-26.
LUO Zhangsheng, XU Junyong, LUO Zheng. Nozzle and flash spinning equipment with the nozzle: 201821501 901.9[P]. 2019-07-26.
[27] 罗章生. 一种闪蒸纺丝设备及其纺丝方法:201710805631.4[P]. 2019-01-01.
LUO Zhangsheng. Flash spinning equipment and spinning method: 201710805631.4[P]. 2019-01-01.
[28] 程博闻, 西鹏, 夏磊. 一种闪蒸纺制超细纤维的设备和方法:200710150364.8[P]. 2008-05-07.
CHENG Bowen, XI Peng, XIA Lei. Equipment and method for flash spinning spinning ultrafine fibers: 200710150364.8[P]. 2008-05-07.
[29] 夏磊. 闪蒸超细纤维非织造布的制备及功能化研究[D]. 天津:天津工业大学, 2011: 21-30.
XIA Lei. Study on preparation and functionalization of flash spinning ultrafine fiber and nonwoven[D]. Tianjin: Tianjin Polytechnic University, 2011: 21-30.
[30] XIA Lei, XI Peng, CHENG Bowen. High efficiency fabrication of ultrahigh molecular weight polyethylene submicron filaments/sheets by flash-spinning[J]. Journal of Polymer Engineering, 2016(36):97-102.
[31] XIA Lei, XI Peng, CHENG Bowen. A comparative study of UHMWPE fibers prepared by flash-spinning and gel-spinning[J]. Materials Letters, 2015(147):79-81.
[32] XIA L, XI P, CHENG B W. The application of central composite design in flash spinning[J]. Advanced Materials Research, 2011, 332-334:471-474.
[33] ZHANG D, XIA L, XI P. The application and researches of flash spinning nonwoven[J]. Advanced Materials Research, 2011, 332-334:683-686.
[34] 罗益锋, 罗晰旻. 不断创新发展的防护材料[J]. 高科技纤维与应用, 2016,41(3):12-16.
LUO Yifeng, LUO Xiwen. Continued innovative developments of protection materials[J]. Hi-Tech Fiber & Application, 2016,41(3):12-16.
[35] TANG B, WANG X, LI Q, et al. Estimation of the transmission risk of the 2019-nCoV and its implication for public health interventions[J]. Journal of Clinical Medicine, 2020,9(2):462-471
[36] REVAIAH R, KOTRESH T. Technical textiles for military applications[J]. Journal of The Textile Institute, 2020,111(2):273-308.
[1] WANG Qiuping, ZHANG Ruiping, LI Chenghong, ZHANG Gecheng. Preparation and characterization of conductive polyester nonwovens [J]. Journal of Textile Research, 2020, 41(10): 116-121.
[2] SUN Huanwei, ZHANG Heng, ZHEN Qi, ZHU Feichao, QIAN Xiaoming, CUI Jingqiang, ZHANG Yifeng. Filtrations of propylene-based micro-nano elastic filters via melt blowing process [J]. Journal of Textile Research, 2020, 41(10): 20-28.
[3] ZHANG Lingyun, QIAN Xiaoming, ZOU Chi, ZOU Zhiwei. Preparation and properties of SiO2 aerogel/polyester-polyethylene bicomponent fiber composite thermal insulation materials [J]. Journal of Textile Research, 2020, 41(08): 22-26.
[4] CHEN Shiping, CHEN Min, WEI Cen, WANG Fujun, WANG Lu. Structure and functions of medical protective clothing and trend for research and development [J]. Journal of Textile Research, 2020, 41(08): 179-187.
[5] AN Qi, FU Yijun, ZHANG Yu, ZHANG Wei, WANG Lu, LI Dawei. Research progress of nonwovens for medical protective garment [J]. Journal of Textile Research, 2020, 41(08): 188-196.
[6] ZHOU Huilin, YANG Weimin, LI Haoyi. Research progress of filtering material for medical mask [J]. Journal of Textile Research, 2020, 41(08): 158-165.
[7] LÜ Hanming, WANG Xiangyu, LIU Fengkun. Estimating water content of acetate fiber spunlaced nonwovens with dielectric spectroscopy [J]. Journal of Textile Research, 2020, 41(06): 55-60.
[8] ZHANG Xing, LIU Jinxin, ZHANG Haifeng, WANG Yuxiao, JIN Xiangyu. Preparation technology and research status of nonwoven filtration materials for individual protective masks [J]. Journal of Textile Research, 2020, 41(03): 168-174.
[9] ZHEN Qi, ZHANG Heng, ZHU Feichao, SHI Jianhong, LIU Yong, ZHANG Yifeng. Fabrication and properties of polypropylene / polyester bicomponent micro-nanofiber webs via melt blowing process [J]. Journal of Textile Research, 2020, 41(02): 26-32.
[10] FU Lisong, ZHANG Shujie, WANG Rui, YANG Zhaowei, JING Mengke. Tensile strength of polyester / ramie nonwoven composite applied on pipeline rehabilitation [J]. Journal of Textile Research, 2020, 41(02): 52-57.
[11] LIU Yuhao, SUN Hui, WANG Jieqi, YU Bin. Preparation of TiO2 / MIL-88B(Fe) / polypropylene composite melt-blown nonwovens and study on dye degradation properties [J]. Journal of Textile Research, 2020, 41(02): 95-102.
[12] MIAO Miao, WANG Xiaoxu, WANG Ying, LÜ Lihua, WEI Chunyan. Preparation and antistatic property of graphene oxide grafted polypropylene nonwoven fabric [J]. Journal of Textile Research, 2019, 40(11): 125-130.
[13] WANG Lu, DING Xiaojun, XIA Xin, WANG Hong, ZHOU Xiaohong. Protective function of SiO2 aerogel hybrid/aramid nonwovens fabric [J]. Journal of Textile Research, 2019, 40(10): 79-84.
[14] LIU Jian, MAO Jinlu, PENG Li, CAI Lingyun, ZHENG Xuming, ZHANG Fushan. Performance and regulation of hydrophilic oil agent for polyethylene-polypropylene nonwoven fabrics [J]. Journal of Textile Research, 2019, 40(09): 114-121.
[15] ZHOU Ying, WANG Chuang, ZHU Jiaying, HUANG Linxi, YANG Lili, YU Houyong, YAO Juming, JIN Wanhui. Preparation of controllable ZnO nanoparticles on surface of nonwovens [J]. Journal of Textile Research, 2019, 40(09): 35-41.
Viewed
Full text


Abstract

Cited

  Shared   
  Discussed   
No Suggested Reading articles found!